|
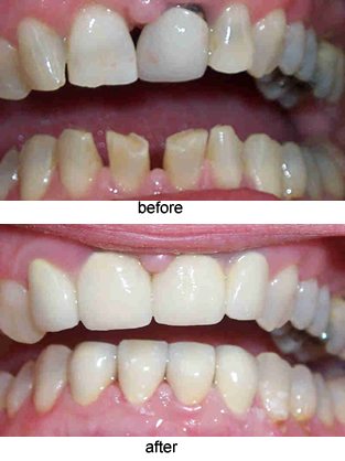
Do you sometimes avoid smiling because you are uncomfortable with the way your teeth look? Do unsightly gaps, chipped broken or crowded teeth or discolored spots tend to make you cover your mouth and hide your smile? Imagine what it would be like to have a brilliant perfect smile with straight strong, dazzling white teeth! It is possible with porcelain crowns and bridges. In as little as 2 visits, we can create a beautiful new smile that will radiate joy, excitement, and vitality. Your beautiful smile will give you renewed confidence and make a terrific difference in all aspects of your life. Ask us about our free cosmetic exams to show you what a new smile can do to brighten your life.
Dentures
When your teeth are hopeless and cant be saved, removable dentures or full plates are the best and least expensive option to make you smile and chew again. We can make a perfect match of your original teeth.
Thomas E. Littner D.D.S.,P.C.,
General Dentistry, Dental Sleep and Oral Systemic Medicine
123 Academy Avenue, Middletown, New York 10940 (845) 342-4668
|
| Services |
| Please choose a service
below for more information. If you
are interested in any of the products below, please fill out our
online form and
we will contact you. |
 |
 |
 |
 |
 |
 |
 |
 |
 |
 |
 |
|
| |
|
|
Dental Library
|
| Featured Article on Dentures
- View all
|
|
Implant Overdentures for the Lower Jaw
Implant overdentures represent a major change for the dental profession and the public. The lower jaw two-implant overdenture may be considered a more appropriate starting point over regular dentures... Read Article
|
About Dear Doctor Magazine
Written by dental professionals, Dear Doctor - Dentistry & Oral Health magazine is packed with informative articles and consultations in all aspects of dentistry including Cosmetic & Restorative Dentistry, Implantology, Periodontics, Oral Health & Hygiene, Oral Surgery & Medicine, Pediatric Dentistry, Endodontics and Dental Hygiene. Dear Doctor also provides you with an opportunity to win a smile makeover.
Copyright © 2010 Dear Doctor, Inc. All rights reserved. Copying or reproducing any text or graphics is strictly prohibited.
|
|
| | |