| Periodontal Care |
|
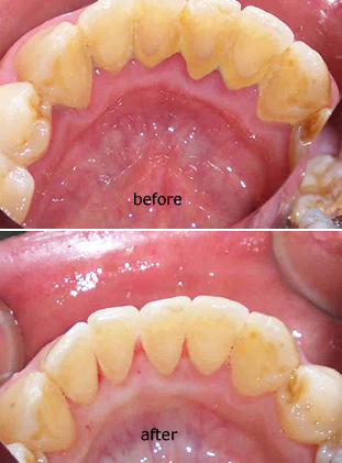
Periodontal disease or gum disease affects millions of Americans. It is often a painless infection of the tissues surrounding and supporting the teeth and is the largest cause of tooth loss in adults. Patients do not even know they have periodontal disease. Since it can lead to serious complications like tooth loss it is important that it is diagnosed and treated. Recent studies also suggest possible relationships between periodontal infection and heart disease, diabetes and increased coincidence of pre-term low birth weight babies.
Our hygienists will gently clean your teeth and get your gums healthy again. Here at Cornerstone Dental we are your foundation for a healthy smile. It all starts here. We have the technology and the know-how along with the sensitive touch to save your teeth and enable you to smile again.
Thomas E. Littner D.D.S.,P.C.,
General Dentistry, Dental Sleep and Oral Systemic Medicine
123 Academy Avenue, Middletown, New York 10940 (845) 342-4668
|
| Services |
| Please choose a service
below for more information. If you
are interested in any of the products below, please fill out our
online form and
we will contact you. |
 |
 |
 |
 |
 |
 |
 |
 |
 |
 |
 |
|
Do you sometimes avoid
smiling because you are uncomfortable with the way your teeth look? Do
unsightly gaps, chipped broken or crowded teeth or discolored spots tend
to make you cover your mouth and hide your smile? Imagine what it would
be like to have a brilliant perfect smile with straight strong, dazzling
white teeth! This is possible with porcelain veneers. In as little as
2 visits, we can create a beautiful new smile that will radiate joy,
excitement, and vitality. Your beautiful smile will give you renewed
confidence and make a terrific difference in all aspects of your life.
Ask us about our free cosmetic
exams to show you what a new smile can do to brighten your life.
|
Thomas E. Littner D.D.S.,P.C.,
General Dentistry, Dental Sleep and Oral Systemic Medicine
|
|
123 Academy Avenue, Middletown, New York 10940 (845) 342-4668
|
|
Dental Library
|
| Featured Article on Periodontal (Gum) Disease
- View all
|
|
Understanding Periodontal Disease
Have your gums ever bled when you brushed or flossed? This most commonly overlooked simple sign may be the start of silent (periodontal) disease leading to tooth loss. Learn what you can do to prevent this problem and keep your teeth for life... Read Article
|
About Dear Doctor Magazine
Written by dental professionals, Dear Doctor - Dentistry & Oral Health magazine is packed with informative articles and consultations in all aspects of dentistry including Cosmetic & Restorative Dentistry, Implantology, Periodontics, Oral Health & Hygiene, Oral Surgery & Medicine, Pediatric Dentistry, Endodontics and Dental Hygiene. Dear Doctor also provides you with an opportunity to win a smile makeover.
Copyright © 2010 Dear Doctor, Inc. All rights reserved. Copying or reproducing any text or graphics is strictly prohibited.
|
|
| | | |